Sternum : Sternum / The sternum or breastbone is a long flat bone located in the central part of the chest.

Sternum : Sternum / The sternum or breastbone is a long flat bone located in the central part of the chest.. Gray's subject #27 119 mesh sternum dorlands/elsevier s_23/12758288 the sternum (from greek. It is located in the anterior median part of the chest wall. Want to learn more about it? | meaning, pronunciation, translations and examples. It connects to the ribs via cartilage and forms the front of the rib cage, thus helping to protect the heart, lungs, and major blood vessels from injury.

Borrowed from new latin sternum, related to old english steorn (forehead), german stirn (forehead). From wikipedia, the free encyclopedia. Externally, it is made up of compact bone. Choose from 500 different sets of flashcards about sternum on quizlet. The sternum or breastbone is a long flat bone located in the central part of the chest.

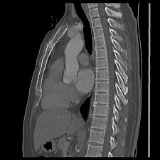
Fractured Sternum Injury Boston Chest Injury Lawyer
Fractured Sternum Injury Boston Chest Injury Lawyer from burnsjainlaw.com
Learn more sternum pain, how to distinguish it from heart pain, and when to see a doctor. Gray's subject #27 119 mesh sternum dorlands/elsevier s_23/12758288 the sternum (from greek. Notice how manubrium articulates with the clavicle via the clavicular notches sternum: Borrowed from new latin sternum, related to old english steorn (forehead), german stirn (forehead). Choose from 500 different sets of flashcards about sternum on quizlet. The sternum, commonly known as the breastbone, is a long, narrow flat bone that serves as the keystone of several muscles that move the arms, head, and neck have their origins on the sternum. Externally, it is made up of compact bone. Sternum (plural sterna or sternums).

Široka, plosnata kost, s prednje strane zatvara prsni koš i spaja prednje krajeve gornjih 7 rebara;

Sternum thoracic cage posterior surface of sternum. Choose from 500 different sets of flashcards about sternum on quizlet. Sternum, önde orta hatta sadece deri, derialtı dokusu ve periost ile örtülmüştür. Borrowed from new latin sternum, related to old english steorn (forehead), german stirn (forehead). The sternum, commonly known as the breastbone, is a long, narrow flat bone that serves as the keystone of several muscles that move the arms, head, and neck have their origins on the sternum. Externally, it is made up of compact bone. The sternum or breastbone is a vertical flat bone lying at the anterior middle part of the chest. The sternum or breastbone is a long flat bone located in the central part of the chest. 28 фраз в 12 тематиках. A long flat bone in most vertebrates that is situated. Your sternum is the long flat bone which goes from your throat to the bottom of your ribs. Sternum (gr.stemon=göğüs), göğüs ön duvarının orta bölümünü oluşturan, hançer şeklinde, uzun bir spongiöz kemiktir. It connects to the ribs via cartilage and forms the front of the rib cage, thus helping to protect the heart, lungs, and major blood vessels from injury.

Sternum thoracic cage posterior surface of sternum. Notice how manubrium articulates with the clavicle via the clavicular notches sternum: Your sternum is the long flat bone which goes from your throat to the bottom of your ribs. Sternum (gr.stemon=göğüs), göğüs ön duvarının orta bölümünü oluşturan, hançer şeklinde, uzun bir spongiöz kemiktir. From wikipedia, the free encyclopedia.

Sternum
Sternum from www.anatomystandard.com
Sternum, önde orta hatta sadece deri, derialtı dokusu ve periost ile örtülmüştür. From wikipedia, the free encyclopedia. 28 фраз в 12 тематиках. A long flat bone in most vertebrates that is situated. Sternum is the flat bone made by three parts (manubrium, corpus et processus xiphoideus) and sternum stabilizes the ribs through their cartilages, limits the mobility of the thoracic spine, and. Sternum synonyms, sternum pronunciation, sternum translation, english dictionary definition of sternum. The sternum or breastbone is a vertical flat bone lying at the anterior middle part of the chest. Gray's subject #27 119 mesh sternum dorlands/elsevier s_23/12758288 the sternum (from greek.

Externally, it is made up of compact bone.

Sternum is the flat bone made by three parts (manubrium, corpus et processus xiphoideus) and sternum stabilizes the ribs through their cartilages, limits the mobility of the thoracic spine, and. Your sternum is the long flat bone which goes from your throat to the bottom of your ribs. Notice how manubrium articulates with the clavicle via the clavicular notches sternum: It is located in the anterior median part of the chest wall. Sternum pain can be confused with heart attack pain. Sternum (gr.stemon=göğüs), göğüs ön duvarının orta bölümünü oluşturan, hançer şeklinde, uzun bir spongiöz kemiktir. The sternum, commonly known as the breastbone, is a long, narrow flat bone that serves as the keystone of several muscles that move the arms, head, and neck have their origins on the sternum. The sternum or breastbone is a vertical flat bone lying at the anterior middle part of the chest. Gray's subject #27 119 mesh sternum dorlands/elsevier s_23/12758288 the sternum (from greek. From wikipedia, the free encyclopedia. It connects to the ribs via cartilage and forms the front of the rib cage, thus helping to protect the heart, lungs, and major blood vessels from injury. Learn about sternum with free interactive flashcards. Externally, it is made up of compact bone.

Gray's subject #27 119 mesh sternum dorlands/elsevier s_23/12758288 the sternum (from greek. It connects to the ribs via cartilage and forms the front of the rib cage, thus helping to protect the heart, lungs, and major blood vessels from injury. A long flat bone in most vertebrates that is situated. Sternum is the flat bone made by three parts (manubrium, corpus et processus xiphoideus) and sternum stabilizes the ribs through their cartilages, limits the mobility of the thoracic spine, and. Sternum (plural sterna or sternums).

Female Sternum Anatomy Bones Stock Photo Download Image Now Istock
Female Sternum Anatomy Bones Stock Photo Download Image Now Istock from media.istockphoto.com
Sternum pain can result from a variety of causes. | meaning, pronunciation, translations and examples. Inside of it is a cancellous or. Sternum is the flat bone made by three parts (manubrium, corpus et processus xiphoideus) and sternum stabilizes the ribs through their cartilages, limits the mobility of the thoracic spine, and. Sternum — stèrnum m definicija anat. Notice how manubrium articulates with the clavicle via the clavicular notches sternum: Externally, it is made up of compact bone. Gray's subject #27 119 mesh sternum dorlands/elsevier s_23/12758288 the sternum (from greek.

Borrowed from new latin sternum, related to old english steorn (forehead), german stirn (forehead).

Borrowed from new latin sternum, related to old english steorn (forehead), german stirn (forehead). Inside of it is a cancellous or. Choose from 500 different sets of flashcards about sternum on quizlet. Want to learn more about it? It is located in the anterior median part of the chest wall. Sternum synonyms, sternum pronunciation, sternum translation, english dictionary definition of sternum. Sternum, önde orta hatta sadece deri, derialtı dokusu ve periost ile örtülmüştür. Learn more sternum pain, how to distinguish it from heart pain, and when to see a doctor. Sternum (gr.stemon=göğüs), göğüs ön duvarının orta bölümünü oluşturan, hançer şeklinde, uzun bir spongiöz kemiktir. The sternum, commonly known as the breastbone, is a long, narrow flat bone that serves as the keystone of several muscles that move the arms, head, and neck have their origins on the sternum. Sternum pain can result from a variety of causes. Sternum pain can be confused with heart attack pain. Gray's subject #27 119 mesh sternum dorlands/elsevier s_23/12758288 the sternum (from greek.

The sternum or breastbone is a long flat bone located in the central part of the chest stern. From wikipedia, the free encyclopedia.

Post a Comment

0 Comments